أرقام وإحصاءات

يمكن إعادة تكوين كبد بشري حي خارج الجسم


سميت مجموعة من العلماء من معهد بيولوجيا الخلايا الجزيئية وعلم الوراثة بهذا الاسم ماكس بلانك في دريسدن، بالتعاون مع مستشفى جامعة كارل جوستاف كاروس والمركز الطبي بجامعة لايبزيغ والمركز الوطني للسرطان، قاما بتطوير نموذج فريد للكبد البشري. ونشرت نتائج الدراسة في المجلة طبيعة.

ليغو مصنوع من خلايا بشرية

ابتكر العلماء نموذجًا ثلاثي الأبعاد متعدد الخلايا للكبد البشري تم تجميعه مثل مجموعة LEGO. ويشمل ثلاثة أنواع رئيسية من الخلايا – خلايا الكبد، والخلايا الصفراوية، وخلايا الكبد الوسيطة، التي تم الحصول عليها من 28 مريضا. بمجرد اتحادها، تنظم الخلايا نفسها ذاتيًا في هياكل تحاكي المنطقة المحيطة بالباب في الكبد، حيث تتركز التفاعلات الخلوية المعقدة.

يقول ميريتشل هوه، قائد المشروع: “باستخدام نماذجنا، يمكننا إنشاء أجزاء مختلفة من الكبد والتحكم فيها في المختبر. وهذا يساعد على فهم كيفية تفاعل الخلايا لتكوين كبد صحي، وما يحدث في أمراض مثل التليف الصفراوي”.

يتم الحفاظ على الوظائف والهيكل

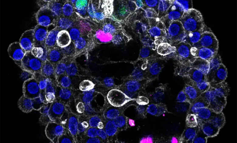
الصورة: ما يلي:

صورة مجهرية تظهر المنطقة المحيطة بالباب للكبد البشري. تسلط الصورة الضوء على ثلاثة أنواع رئيسية من الخلايا: الخلايا الليفية البوابة ذات اللون الأرجواني. يتم تمييز الخلايا الصفراوية باللون الأخضر. وتظهر نوى خلايا الكبد باللون الأزرق.
تم تمييز كافة حدود الخلايا في الصورة باللون الأبيض، مما يساعد على التمييز بوضوح بين الخلايا الفردية.

يستنسخ النموذج الوظائف الرئيسية للكبد، بما في ذلك إزالة السموم واستقلاب الدواء. تم إيلاء اهتمام خاص للقنوات الصفراوية، التي تستنزف الصفراء من الكبد. ويرتبط اضطرابها بتلف الأنسجة وتطور المرض، لذا فإن تكاملها يجعل الدراسة أقرب ما يمكن إلى علم وظائف الأعضاء الحقيقي.

تقول طالبة الدراسات العليا ساجاريكا دافكا: “لقد تمكنت من تحسين النموذج عن طريق إضافة القنوات الصفراوية. وهذا يسمح لنا بدراسة كيفية تأثير الاضطرابات في تدفق الصفراء على تطور أمراض الكبد”.

الطب الشخصي

تتيح لك هذه المنصة دراسة الخصائص الفردية للمرضى. يمكن تجميد البنك الحيوي للعضويات من 28 جهة مانحة وإعادة استخدامه. وهذا يفتح الفرص لاختبار الأدوية وتقييم سميتها وتطوير علاجات شخصية.

ويضيف هوه: “يمكن لنماذجنا أن تساعد في إنشاء اختبارات تشخيصية جديدة وتطوير علاجات خاصة بالمريض”.

حل لمشكلة عالمية

تسبب أمراض الكبد أكثر من مليوني حالة وفاة كل عام. لا تعكس النماذج الحيوانية التقليدية دائمًا علم الأحياء البشري بسبب البنية المعقدة للكبد والتفاعلات الخلوية الفريدة. يسمح النموذج الجديد لأول مرة بدراسة المنطقة المحيطة بالكبد البشري البالغ وإجراء تجارب كانت مستحيلة في السابق.

يتطلب إنشاء النموذج تعاون العلماء والأطباء وأخصائيي المعلومات الحيوية والمهندسين. يوضح يوهان كيم، أحد المؤلفين الرئيسيين:

“لقد قمنا أولاً بعزل أنواع الخلايا الفردية، وتوسيعها، ثم دمجها في بنية ثلاثية الأبعاد. وهذه عملية معقدة تسمح لنا بمحاكاة وظائف الكبد بدقة عالية.”

تشمل التقنيات المستخدمة وضع العلامات على الخلايا لتتبع أنواع الخلايا، وتحسين وسائط النمو والتمايز، والرصد في الوقت الحقيقي لتفاعلات الخلايا. تم التحكم في كل تفاصيل العملية بعناية لإعادة إنتاج البنية الطبيعية للكبد والحفاظ على الخصائص الوظيفية للأنسجة.

آفاق جديدة

توفر الأعضاء العضوية المخصصة فرصًا لدراسة آليات المرض، وتطوير الأدوية، والتشخيص المبكر. إنها تجعل من الممكن اختبار الأدوية بأمان وتحليل التفاعلات الخلوية ونمذجة الأمراض النادرة للكبد البشري الخارج الجسم. توفر مثل هذه النماذج منصة للطب الشخصي وتسريع البحث العلمي الذي كان مستحيلا في السابق.

اشترك واقرأ “العلم” في

برقية



■ مصدر الخبر الأصلي

نشر لأول مرة على: yalebnan.org

تاريخ النشر: 2025-12-19 09:17:00

الكاتب: ahmadsh

تنويه من موقعنا

تم جلب هذا المحتوى بشكل آلي من المصدر:
yalebnan.org
بتاريخ: 2025-12-19 09:17:00.
الآراء والمعلومات الواردة في هذا المقال لا تعبر بالضرورة عن رأي موقعنا والمسؤولية الكاملة تقع على عاتق المصدر الأصلي.

ملاحظة: قد يتم استخدام الترجمة الآلية في بعض الأحيان لتوفير هذا المحتوى.

اظهر المزيد

مقالات ذات صلة

اترك تعليقاً

لن يتم نشر عنوان بريدك الإلكتروني. الحقول الإلزامية مشار إليها بـ *

زر الذهاب إلى الأعلى